Podemos critica a "falta de liderado" de Celaá no inicio de curso Iglesias admite un desencontro no Goberno OTR/PRESS 25/08/20
Bélgica prohíbe viajar a España y Alemania y Reino Unido no lo recomiendan Las restricciones en Europa a los visitantes procedentes de España van desde las prohibiciones de Bélgica a las recomendaciones de no viajar de… EFE 25/08/20
El BNG insiste en que Pedro Sánchez explique la "huída" de Juan Carlos I Los partidos independentistas critican a UnidasPodemos poniendo en duda su republicanismo; "Menudo currículum republicano se les está quedando a… Europa Press 25/08/20
Educación e as comunidades preparan a reunión do xoves para a volta ao cole Abordarase a preparación de dous documentos en relación á preparación dos centros e do protocolo a seguir en caso de contaxio Efe 25/08/20 Feijóo non contempla aprazar o inicio do curso e defende as ratio propostas
El 7% de los brotes tienen su origen en residencias, donde los casos crecen La conselleira de Política Social pide más financiación al Gobierno para adaptar estos centros Efe 25/08/20
¿Kim Jong-un, en coma? Os rumores sobre a saúde do líder norcoreano non deixan de medrar Un diplomático surcoreano así o asegura e pon á irmá do ditador ao mando do país Redacción 25/08/20
Un niño de 13 años apuñala a su padre durante una discusión por un móvil El menor propinó a su progenitor varias cuchilladas en el brazo y en el hombro Europa Press 25/08/20
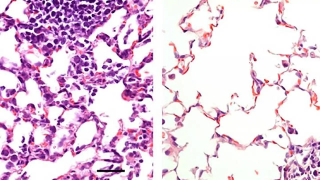
Una vacuna nasal contra el Covid-19 previene la infección en los ratones Científicos de la Facultad de Medicina de la Universidad de Washington en San Luis (Estados Unidos) han desarrollado una vacuna que ataca el virus… Europa Press 25/08/20
Investigan unha residencia en Terrassa tras a difusión dun vídeo de dúas coidadoras vexando unha anciá "Se che doe dos pés á cabeza, vaste foder, ¡home xa, a puta rula!", grita unha delas mentres a outra grava a situación entre risas Efe 24/08/20
Un hongkonés regresado de España primer reinfectado por Covid-19 en el mundo Un hongkonés de 33 años se ha convertido en el primer caso documentado de reinfección por Covid-19 en el mundo, según investigadores de la… EFE 24/08/20
El Gobierno retoma la actividad con el foco en la financiación de Podemos El Gobierno retoma su actividad con el foco puesto en la gestión de los brotes del coronavirus y la presión por la financiación de Podemos, sobre la… EFE 24/08/20
Un policía de Wisconsin dispara siete veces por la espalda a un hombre negro El suceso, captado en vídeo, ha desatado una ola de indignación y nuevos disturbios en EE UU Efe 24/08/20
Sanidad urge limitar el uso de remdesivir y negocia con su fabricante recibir más El Ministerio de Sanidad ha urgido a usar remdesivir solo en el grupo de pacientes sobre el que se ha demostrado su eficacia terapéutica mientras… EFE 24/08/20
Sanidade rexistra case 20.000 novos casos de Covid-19 este fin de semana Os positivos das últimas 24 horas sitúanse en 2.060 Europa Press 24/08/20
Desaloxan unha festa ilegal con máis de 200 persoas en Hellín Os axentes identificaron ao propietario do solar, ao que se denunciou por este acontecemento "irresponsable e incívico" Efe 24/08/20
Educación afirma que non está a valorar cambios sobre as datas do novo curso Este xoves está prevista unha Conferencia Sectorial presidida polos ministros de Educación e Sanidade coas comunidades Efe 24/08/20
Robles admite que o descoñecemento do paradoiro de Juan Carlos I "non foi bo" Apuntou que a institución encarnada, representada e dirixida por Felipe VI é "forte e ten credibilidade" Europa Press 24/08/20
El Tribunal de Estrasburgo pide a Rusia los informes médicos de Alexei Navalni Comienza el diagnóstico al líder opositor ruso en Berlín, mientras el Gobierno alemán confía en su recuperación ►Se encuentra en coma desde el pasado… Efe 23/08/20
Incendia la casa de su madre con ella dentro y dice que intentará matarla al salir de prisión El detenido reiteró en su declaración su intención de matar a su progenitora cuando salga de la prisión Efe 23/08/20
Los niños y las mascarillas: las recomendaciones de la OMS según la edad La Organización Mundial de la Salud aconseja que a partir de 12 años sigan las mismas directrices que los adultos Europa Press 22/08/20
Fernando Simón advirte: "Que ninguén se confunda. As cousas non van ben" "Estamos a ter unha transmisión importante", declarou o director do Centro de Coordinación de Alertas e Urxencias Sanitarias, que pide á… Europa Press 20/08/20
Escrivá: "O Ingreso Mínimo Vital resólvese a ritmo crecente e terá efectos retroactivos" O ministro afirma que uns 80.000 fogares recibirán o IMV en agosto e pide esperar a setembro para valoralo EFE 20/08/20
Un mozo con Covid sáltase a corentena para acudir a unha festa e causa un brote Sanidade non descarta abrirlle un expediente por un delito contra a saúde pública Redacción 20/08/20
Os concertos en España terán a súa propia guía sanitaria Recoméndase unha distancia mínima de catro metros entre o público e o artista EUROPA PRESS 19/08/20
Suben a 33 los casos asociados al virus del Nilo, con 26 ingresados, 8 en UCI Juanma Moreno ha autorizado la fumigación de todas las zonas que están vinculadas con la procreación del mosquito transmisor EFE 19/08/20
Soben os novos casos en España a 3.715 e dóbranse as mortes ata 131 Un total de 28.797 persoas morreron con coronavirus Europa Press 19/08/20 Detectado un brote con oito casos positivos nun edificio de Monforte de Lemos
Margarita Robles: "O rei Juan Carlos I viría inmediatamente se o chama a xustiza" Margarita Robles: "O rei Juan Carlos I viría inmediatamente se o chama a xustiza" EFE 19/08/20
Detenido el responsable de una brutal agresión a una anciana en un portal de Valencia El ladrón le propinó un fuerte puñetazo y dejó a la mujer tendida en el suelo, sangrando Europa Press 19/08/20
Os sindicatos convocan unha folga de profesorado en setembro Reclaman baixada dos cocientes de alumnado por aula; aumento dos persoais do profesorado; máis persoal de limpeza e control, e dotación en todos… Europa Press 19/08/20
Cifuentes, a Errejón: "¿Os meus fillos son de peor condición que os de Iglesias?" A expresidenta da Comunidade de Madrid afeou ao fundador de Más Madrid a súa distinción entre "escrache" e "acoso" Redacción 19/08/20